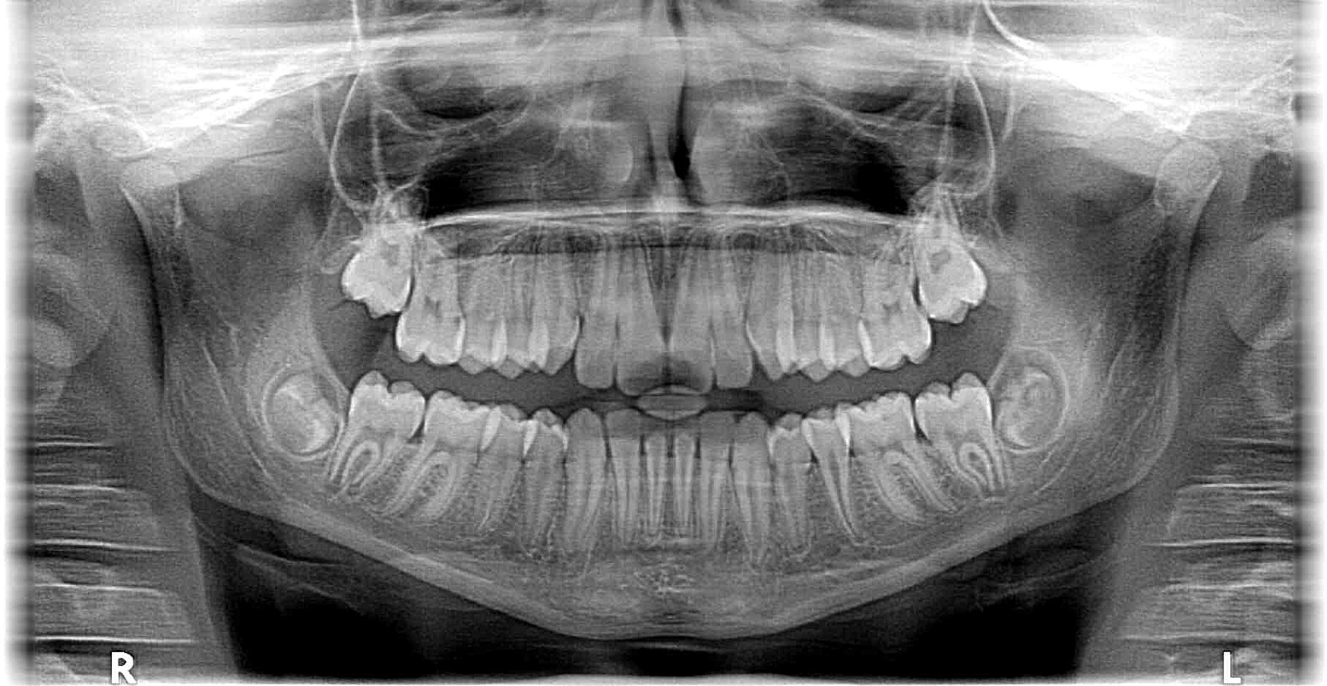
Mit unseren Röntgengeräten der neuesten Generation fertigen wir Aufnahmen an, bei denen Sie als Patient mit einer deutlich geringeren Strahlendosis belastet werden, als dies bei herkömmlichen Geräten der Fall wäre.





Mit unseren Röntgengeräten der neuesten Generation fertigen wir Aufnahmen an, bei denen Sie als Patient mit einer deutlich geringeren Strahlendosis belastet werden, als dies bei herkömmlichen Geräten der Fall wäre.





| Montag | 08:30 - 13:00 Uhr |
| Dienstag | 08:30 - 13:00 Uhr 15:00 - 18:00 Uhr |
| Mittwoch | 08:30 - 13:00 Uhr |
| Donnerstag | 08:30 - 13:00 Uhr 15:00 - 18:00 Uhr |
| Freitag | 08:30 - 13:00 Uhr |
| Samstag | geschlossen |
| Sonntag | geschlossen |
| Montag | 08:00 - 14:00 Uhr |
| Dienstag | 08:00 - 12:00 Uhr 15:00 - 18:00 Uhr |
| Mittwoch | 08:00 - 14:00 Uhr |
| Donnerstag | 08:00 - 12:00 Uhr 15:00 - 18:00 Uhr |
| Freitag | 08:00 - 14:00 Uhr |
| Samstag | geschlossen |
| Sonntag | geschlossen |
| Montag | --- |
| Dienstag | 08:00 - 13:00 Uhr 14:00 - 18:00 Uhr |
| Mittwoch | 08:00 - 14:00 Uhr |
| Donnerstag | 08:00 - 13:00 Uhr 14:00 - 18:00 Uhr |
| Freitag | 08:00 - 14:00 Uhr |
| Samstag | geschlossen |
| Sonntag | geschlossen |
Zahnschmerzen halten sich nicht an Wochentage...
Deshalb steht für Sie an Wochenenden und Feiertagen immer ein zahnärztlicher Notdienst bereit, falls unsere Praxis nicht besetzt sein sollte. Welche Praxis an Wochenenden und Feiertagen wann für den zahnärztlichen Notdienst eingeteilt ist, erfahren Sie unter: